STOMATOLOGIE PEDIATRICĂ

Pentru o relație pozitivă a copilului cu îngrijirea dentară

La Zambezia, oferim o abordare prietenoasă și adaptată vârstei celor mici. Folosim tehnologii moderne și metode blânde pentru ca micii pacienți să se simtă în siguranță și confortabil pe parcursul consultației.

✔ Experiență de peste 15 ani în lucrul cu copiii

✔ Medici cu formare în stomatologie pediatrică

✔ Servicii adresate nevoilor specifice ale copiilor

Programează o consultație

DE CE SĂ ALEGI ZAMBEZIA PENTRU COPILUL TĂU?

Abordare empatică în stomatologia pediatrică

Echipa noastră are experiență în lucrul cu copiii și folosește o comunicare blândă, adaptată fiecărei etape de dezvoltare.

Tehnici moderne pentru confortul micilor pacienți

Aplicăm metode actuale, cu focus pe reducerea disconfortului în timpul tratamentului stomatologic.

Mediu cald și primitor

Spațiul este conceput astfel încât copiii să se simtă în siguranță, cu elemente vizuale și activități care reduc anxietatea.

Educație pentru igiena orală, prin jocuri

Încurajăm obiceiuri sănătoase de igienă orală prin activități ludice, adaptate vârstei copilului.

Îngrijire de la primul dințișor

Consultații și prevenție

Cu atenție și răbdare învățăm și sprijinim copiii să dezvolte obiceiuri sănătoase pentru o igienă dentară impecabilă.

Aliniere perfectă pentru dinți sănătoși

Ortodonție pediatrică

Tratamentele ortodontice dedicate copiilor sunt personalizate pentru a preveni și corecta anomaliile dentare de la o vârstă fragedă.

Întervenție blândă, dinți sănătoși

Tratamentul cariilor

Utilizăm tehnici moderne pentru tratarea cariilor, asigurând confortul și colaborarea copiilor în timpul fiecărei vizite.

Tehnologie modernă pentru confort maxim

Tratament laser (frenectomie)

Procedurile cu laser reduc disconfortul și accelerează recuperarea, fiind soluția ideală pentru micii pacienți.

Intervenții sigure si blânde pentru micii pacienți

Chirurgie pediatrică

Realizăm intervenții chirurgicale adaptate copiilor, folosind tehnici moderne pentru a oferi o experiență fără stres și a preveni complicațiile viitoare.

Un loc prietenos unde copiii se simt în siguranță

Când vine vorba de copii, pentru noi prioritatea este să creăm un mediu atractiv și relaxant. De la spații colorate și interactive, până la o echipă dedicată și prietenoasă, ne asigurăm că fiecare vizită la dentist devine o experiență plăcută și lipsită de anxietăți.

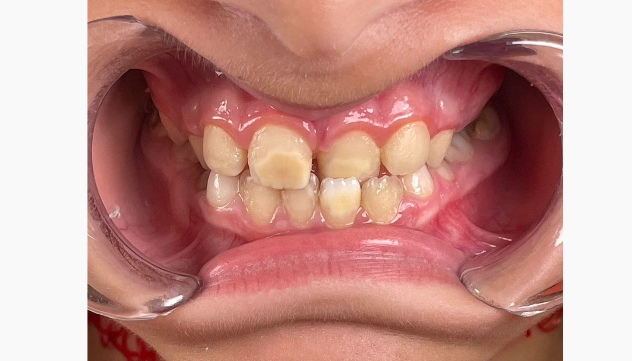
STUDIU DE CAZ. Cum am transformat demineralizările în dinți sănătoși

Demineralizările severe ale dinților frontali au fost corectate cu succes prin restaurare cu material compozit, redând sănătatea și frumusețea zâmbetului copilului.

Before

After

Transformăm anxietatea în încredere

Suntem alături de părinți în sprijinirea copiilor, oferind un mediu sigur, soluții personalizate și grijă constantă pentru fiecare mic pacient. Răspundem cu empatie celor mai frecvente temeri, pentru ca fiecare vizită să fie o experiență pozitivă.

"Copilului meu îi e frică de dentist."

Înțelegem frica celor mici, așa că folosim tehnici de desensibilizare, explicăm pe înțelesul lor fiecare pas și transformăm vizita într-o joacă prin distracții interactive. Medicul nostru folosește abordarea tell-show-do, iar la final, copilul poate primi o mică recompensă, făcând din vizita la dentist o experiență pozitivă.

„Copilul meu nu stă liniștit pe scaunul stomatologic.”

Înțelegem că mulți copii au dificultăți să rămână liniștiți, de aceea folosim tehnici blânde de distragere și interacțiune pentru a-i menține implicați și relaxați. Personalul nostru este antrenat să folosească jocuri și activități care fac vizita mai ușoară și mai plăcută.

"Mi-e teamă că tratamentul va fi dureros pentru copil."

La Zambezia, utilizăm cele mai moderne tehnici și echipamente pentru a face tratamentele cât mai confortabile și nedureroase. În plus, personalul nostru este special instruit să gestioneze sensibilitatea copiilor, oferindu-le o experiență blândă și plăcută.

"Copilul meu a avut o experiență neplăcută la dentist înainte."

Noi ne dorim să schimbăm această percepție. Fiecare vizită este personalizată pentru a construi o relație de încredere cu micuțul tău. Punem accent pe abordări blânde și oferim suport emoțional pentru a transforma experiențele negative în amintiri pozitive.

"Costurile tratamentelor ar putea fi prea mari."

La Zambezia, oferim opțiuni de plată flexibile și transparență totală în ceea ce privește costurile. Vrem să ne asigurăm că îngrijirea dentară de calitate este accesibilă pentru fiecare familie.

Ai întrebări? Avem răspunsuri!

1. Cât de des trebuie să facă copilul meu vizite la dentist?

Recomandările pentru frecvența vizitelor variază în funcție de nevoile individuale ale fiecărui copil. În general, se recomandă o vizită la dentist la fiecare 6 luni pentru a monitoriza sănătatea dentară și a preveni eventuale probleme.

2. Cum pot fi sigur că tratamentele sunt de cea mai bună calitate?

La Zambezia, ne mândrim cu standardele noastre înalte de calitate. Folosim echipamente moderne și tehnici avansate pentru a asigura cele mai bune rezultate. Suntem transparenti în privința procedurilor și oferim informații complete pentru a te ajuta să iei cele mai bune decizii pentru copilul tău.

3. Este necesară sigilarea dinților de lapte?

Da, sigilarea dinților de lapte poate fi foarte benefică. Această procedură implică aplicarea unui strat subțire de material protector pe suprafața masticatorie a dinților pentru a preveni acumularea de bacterii și formarea cariilor. Dinții de lapte sunt esențiali pentru dezvoltarea corectă a dinților permanenți, iar protejarea lor ajută la menținerea unei sănătăți dentare optime.

4. Când ar trebui să încep să-i periez dinții copilului?

Este recomandat să începi periajul dinților copilului imediat ce apar primii dinți, folosind o periuță de dinți moale și o pastă de dinți pentru copii. Periajul regulat, chiar și pentru dinții de lapte, ajută la prevenirea cariilor și stabilirea obiceiurilor de igienă dentară corecte de la o vârstă fragedă.

5. Ce ar trebui să fac dacă copilul meu suge degetul sau folosește suzeta?

Cele două ,,activități" sunt comportamente comune, dar pot influența alinierea dinților și dezvoltarea maxilarului. Este important să încurajăm copilul să renunțe treptat la aceste obiceiuri. Poți utiliza tehnici pozitive de renunțare, oferi alternative care să îi distragă atenția și să discuții cu medicul stomatolog pentru recomandări suplimentare.

6. Ce să fac dacă copilul meu este anxios în legătură cu vizitele la dentist?

Înțelegem că anxietatea față de dentist este comună. Folosim tehnici de desensibilizare și distragere, precum explicarea pașilor procedurii într-un mod prietenos și interactiv. Crearea unui mediu pozitiv și relaxant, precum și utilizarea abordărilor blânde, ajută la reducerea anxietății și transformă vizita într-o experiență mai plăcută.

Experiențe care inspiră încredere

,,Având în vedere că atât noi, cât și fetițele noastre mergem de plăcere și fără frică sau disconfort de fiecare dată la dentist de când o cunoaștem pe dna dr. Oana Nedelea, pot recomandă cu mâna pe inima clinica Zambezia. Dincolo de profesionalism, calitate a lucrărilor, ne întâmpină zâmbete sincere, voie bună, oameni empatici de fiecare dată!"

Patricia R. / CLUJ-NAPOCA

,,Este o clinică modernă, foarte bine dotată din toate punctele de vedere. Este lumea copiilor la această clinică. Loc special dedicat copilașilor unde sunt jucării, amenajarea interioară este atrăgătoare pentru cei mici, fiind multe desene și jucării. Personalul medical foarte bine pregătit, empatic și foarte drăguț cu cei mici. La această clinică, copiii vin cu drag."

Laura M. / CLUJ-NAPOCA

,,Recomand cu încredere maximă! Dna dr. Nedelea Oana este, pe lângă o profesionistă desăvârșită, și un bun psiholog care știe cum să abordeze copiii pe care îi tratează. Am fost cu fiica mea la dansa pentru o extracție și totul a decurs impecabil, deși fiicei mele îi era foarte teamă. Aparatură modernă, ambianța, echipa întreagă merită notă 10."

Dana T. / CLUJ-NAPOCA

,,Și chiar există medici minunați și dedicați care au un suflet mare, care știu să facă sufletele mici fericite. Unul din acești medici minunați este Dr. Oana Nedelea, medic stomatolog specialist pedodonție. Cu adevărat fetițele mele s-au distrat, s-au simțit bine și au ieșit cu zâmbetul pe buze de la Zambezia. Vă recomandăm 100%!"

Roxana Q. / CLUJ-NAPOCA

CLINICA ZAMBEZIA

Clinica Zambezia (14 specializari)

Str. Virgil Onițiu nr. 9A, Cluj-Napoca

Drawer Title

This website uses cookies to ensure you get the best experience on our website.

Produse similare