STOMATOLOGIE ADULȚI

Tratament eficient într-un cadru confortabil și modern

La Zambezia, fiecare tratament stomatologic este gândit pentru a oferi un plus de confort și siguranță. Echipamentele moderne și abordările minim invazive ne ajută să reducem disconfortul asociat intervențiilor dentare și să susținem sănătatea orală pe termen lung.

✔ Echipă medicală atentă la nevoile tale individuale

✔ Anestezie computerizată pentru un plus de confort

✔ Tehnologie actualizată, adaptată tratamentelor de zi cu zi

Programează o consultație

EXPERTIZĂ, SOLUȚII MODERNE ȘI ATENȚIE LA DETALII. TOATE ÎNTR-UN SINGUR LOC

Profesioniști dedicați cu experiență

Echipa noastră aplică soluții adaptate, bazate pe pregătire continuă și ani de practică în stomatologie.

Plan adaptat fiecărui pacient

Fiecare zâmbet este unic, iar noi adaptăm tratamentele la nevoile tale specifice.

Transparență și comunicare clară

Îți explicăm fiecare etapă a tratamentului, astfel încât să știi la ce să te aștepți.

Rezultate de durată, pentru sănătatea ta orală

Ne concentrăm pe cauze, nu doar pe efecte, oferind soluții sustenabile în timp.

Tehnologie modernă pentru mai multă precizie în tratamente

Folosim echipamente moderne care contribuie la un act medical mai eficient și confortabil. Tehnologia ne sprijină în adaptarea intervențiilor la nevoile fiecărui pacient.

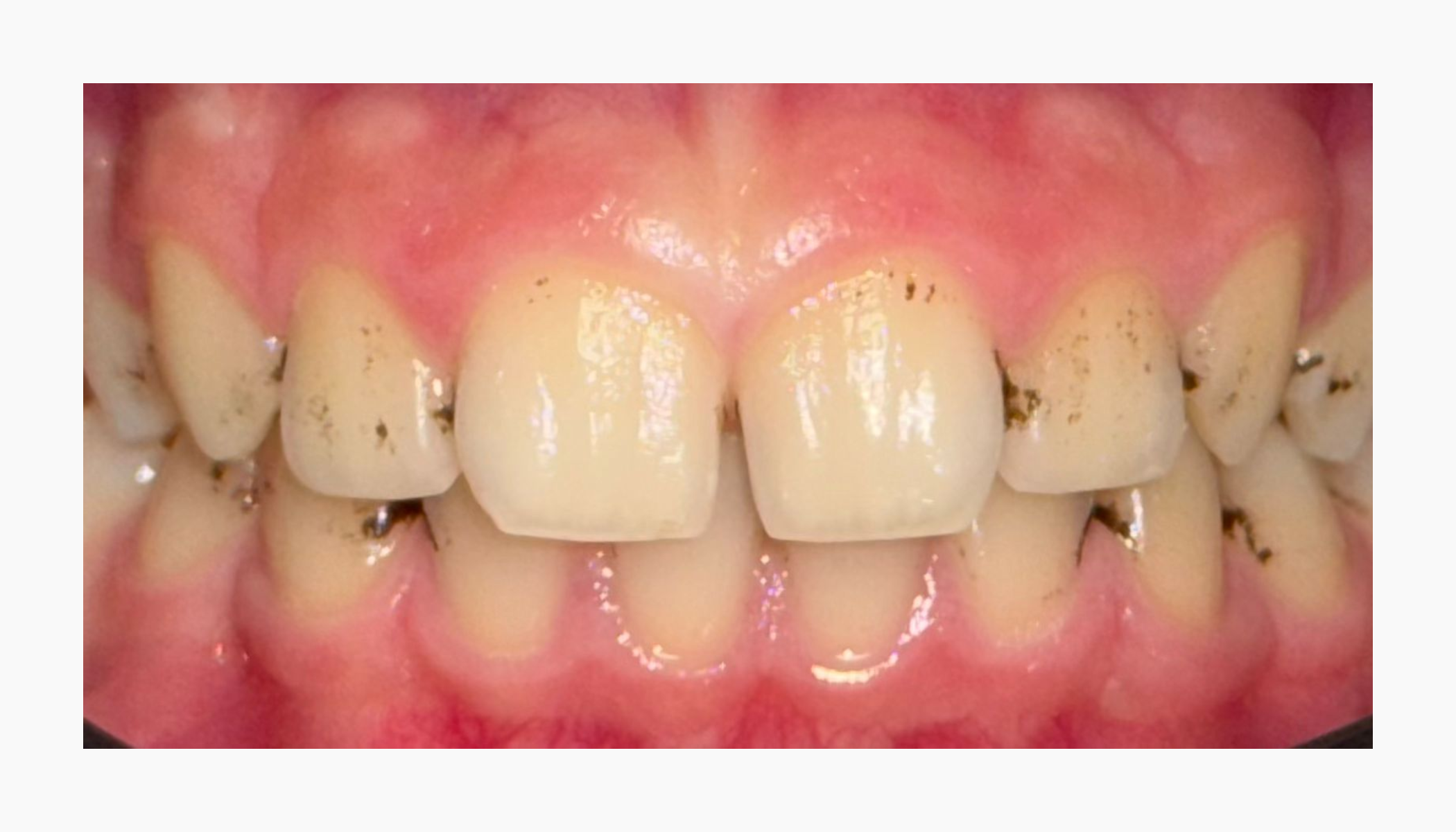
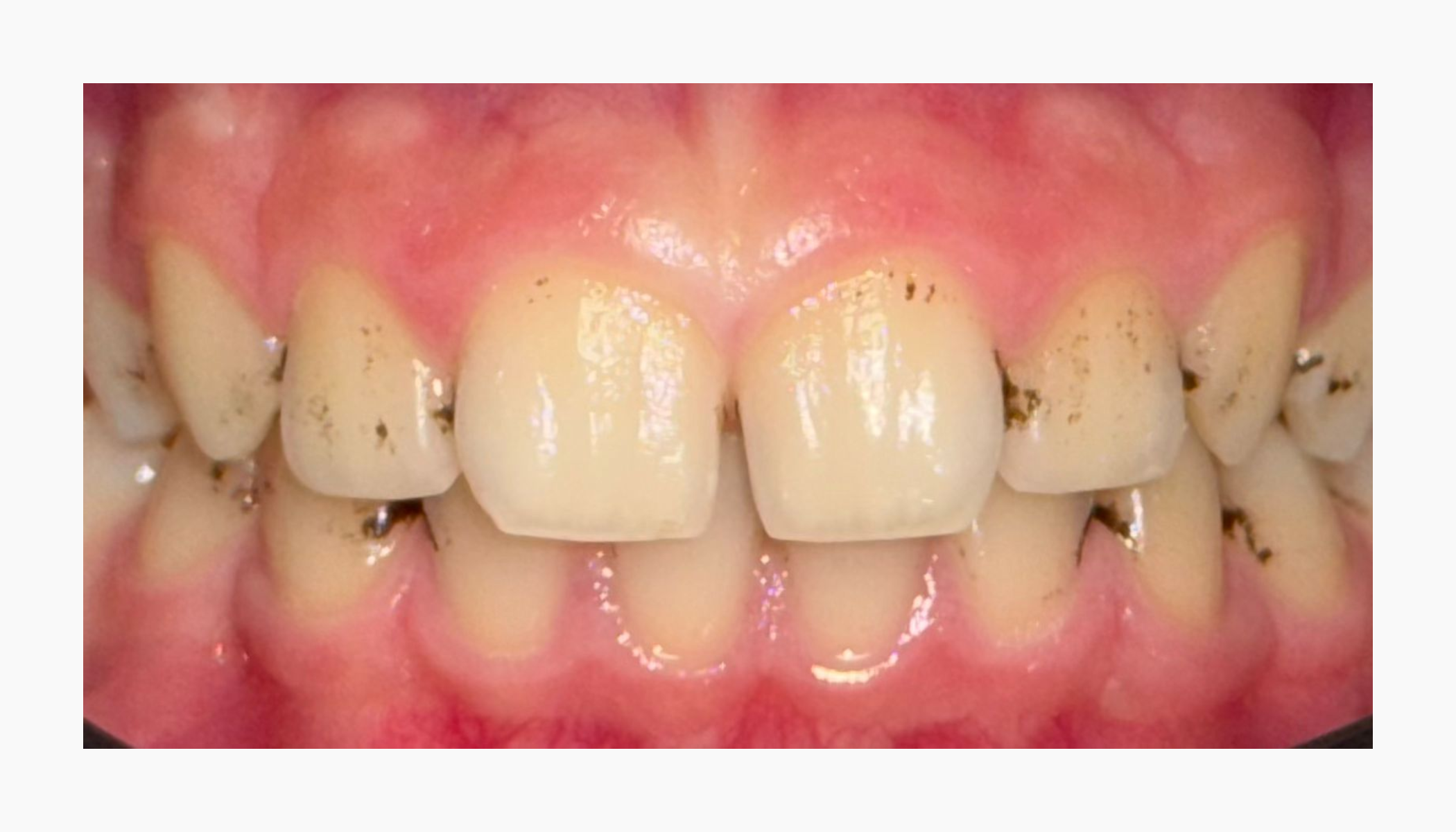
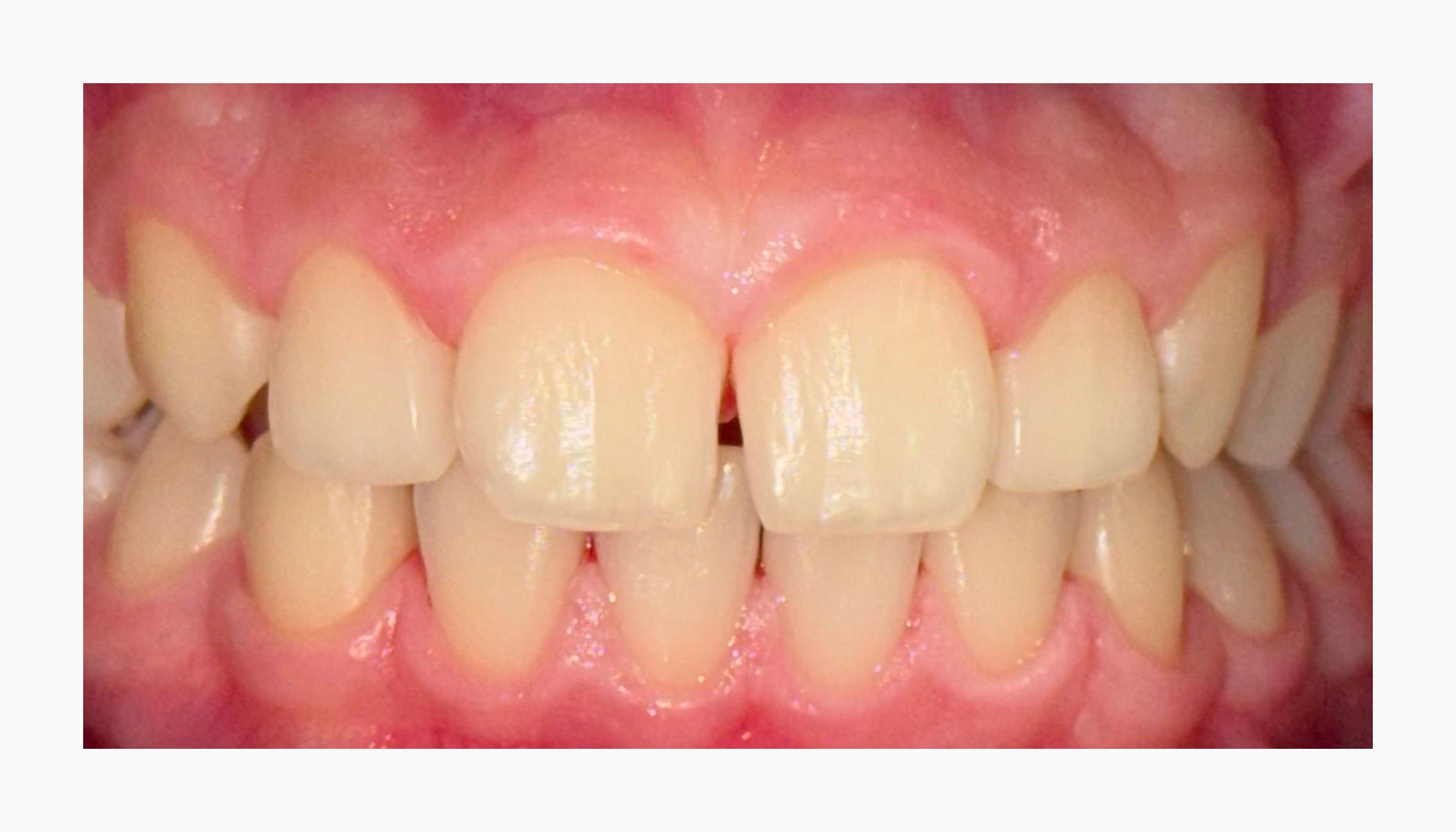
STUDIU DE CAZ. Dinți curați și sănătoși

Pacientul a venit cu pete și acumulări de tartru. După o igienizare completă (detartraj, airflow), dinții au fost curățați, iar zâmbetul și sănătatea orală au fost restabilite.

Before

After

Transformăm anxietatea în încredere

Suntem alături de părinți în sprijinirea copiilor, oferind un mediu sigur, soluții personalizate și grijă constantă pentru fiecare mic pacient. Răspundem cu empatie celor mai frecvente temeri, pentru ca fiecare vizită să fie o experiență pozitivă.

"Mi-e teamă că tratamentele vor fi dureroase."

La clinica noastră, folosim tehnologii moderne și anestezie computerizată pentru a elimina complet durerea și a-ți oferi o experiență confortabilă. Fiecare procedură este realizată cu grijă și răbdare, astfel încât să te simți în siguranță pe tot parcursul tratamentului.

"Am avut experiențe neplăcute în trecut și nu vreau să le retrăiesc."

La Zambezia, ne asigurăm că trecutul rămâne doar o amintire. Tehnologiile moderne, anestezia fără durere și echipa noastră de medici empatici elimină orice disconfort, oferindu-ți o experiență complet diferită. Aici, grijile de ieri nu mai au loc – doar soluții sigure și confort deplin.

"Costurile tratamentelor ar putea fi prea mari pentru bugetul meu."

Oferim soluții personalizate și flexibile, astfel încât să găsim tratamentul potrivit pentru tine, fără compromisuri la calitate. În plus, transparența este prioritatea noastră – vei ști de la început toate costurile implicate.

"Mi-e teamă de injecții sau de anestezie."

Tehnologia avansată permite utilizarea unor metode minim invazive și eficiente, astfel încât să elimini orice disconfort sau anxietate. Procedurile noastre sunt rapide, iar anestezia este aplicată cu cele mai sigure tehnici pentru confortul tău maxim.

"Mă tem că voi avea complicații după tratament."

Planurile noastre de tratament sunt realizate cu atenție maximă la detalii, iar monitorizarea post-tratament reduce orice risc de complicații. Te vom ghida pas cu pas, asigurându-ne că urmezi toate indicațiile necesare pentru o recuperare fără probleme.

"Mi-e rușine de starea actuală a dinților mei."

Suntem aici să te ajutăm, fără prejudecăți. Scopul nostru este să-ți redăm sănătatea orală și încrederea în propriul zâmbet. Fiecare pacient este tratat cu respect și empatie, indiferent de situația inițială.

Experiențe care inspiră încredere

,,De-a lungul timpului am fost la destul de mulți medici dentiști, eu având niște probleme mai vechi, însă parcă nu am găsit pe cineva cu care să pot crea o legătură, așa că la Zambezia. D-na doctor a fost f drăguță și răbdătoare, a răspuns tuturor întrebărilor și temerilor mele și mi-a rezolvat problema foarte rapid. Cu siguranță tot la dumneaei mă voi întoarce."

Lucian Ș. / CLUJ-NAPOCA

"Am venit destul de emoționat, dar doctoriță de la Zambezia a fost grozavă. Mi-a explicat tot ce urmă să facă și asta m-a făcut să mă simt în siguranță. Am plecat cu problema rezolvata și mult mai relaxat. Recomand din tot sufletul!"

Andrei P. / CLUJ-NAPOCA

,,Am tot citit pe net despre clinică, iar ceea ce au scris oamenii chiar m-a convins. Într-adevăr, echipa care s-a ocupat de mine a făcut o treaba foarte bună. Voi reveni și pentru albire, în curând."

Daniela L. / CLUJ-NAPOCA

CLINICA ZAMBEZIA

Clinica Zambezia (14 specializari)

Str. Virgil Onițiu nr. 9A, Cluj-Napoca

Drawer Title

This website uses cookies to ensure you get the best experience on our website.

Produse similare