ESTETICĂ DENTARĂ

Redescoperă încrederea prin estetică dentară personalizată!

La Zambezia, oferim soluții de estetică dentară adaptate fiecărui pacient, cu accent pe echilibru, armonie și naturalețe. Combinăm tehnologia modernă cu expertiza echipei noastre pentru a sprijini pacienții în obținerea unui zâmbet care să reflecte sănătatea și personalitatea lor.

Expertiză certificată în estetica dentară

✓ Soluții personalizate pentru nevoi estetice diverse

Atenție la fiecare detaliu estetic

✓ Tehnologie avansată pentru tratamente minim invazive

Programează o consultație

Redefinim echilibrul dintre sănătatea și estetica dentară

Combinăm expertiza medicală cu tehnologia avansată pentru tratamente care susțin sănătatea orală și armonia zâmbetului. Fiecare soluție este personalizată, cu atenție la detalii și respect pentru unicitatea fiecărui pacient

Un zâmbet armonios începe cu gingii sănătoase

Reconturare gingivală

Redefinim linia gingivală pentru un zâmbet echilibrat și armonios, printr-o procedură delicată de reconturare gingivală. Perfectă pentru corectarea expunerii excesive a gingiilor sau a conturului inegal.

Albire rapidă, cu grijă pentru zâmbetul tău

Albirea dinților

Procedura profesională de albire dentară poate contribui la îmbunătățirea aspectului dinților prin reducerea petelor și a decolorărilor. Tratamentul este realizat cu echipamente moderne, în condiții controlate, cu accent pe confort și adaptare la sensibilitatea fiecărui pacient.

Estetică personalizată, cu soluții moderne

Fațete dentare

Cu ajutorul fațetelor dentare personalizate, putem corecta anumite imperfecțiuni ale dinților. Aceste soluții fine din ceramică sau porțelan sunt adaptate formei și culorii fiecărui zâmbet, contribuind la îmbunătățirea aspectului general și la creșterea încrederii pacientului.

Aspect natural și funcționalitate restabilită

Obturație frontală

Restabilim funcționalitatea și estetica dinților frontali cu obturații dentare de înaltă calitate. Acestea sunt utilizate pentru a repara dinții deteriorați de carii sau leziuni, oferind un aspect natural și durabil.

1

2

3

4

Îngrijire estetică dentară adaptată nevoilor tale

Zâmbetul tău, unic ca tine

Fiecare pacient are nevoi diferite. Echipa Zambezia construiește planuri de tratament adaptate, cu atenție la obiectivele și preferințele tale.

Tehnologie modernă pentru tratamente eficiente

Utilizăm echipamente și tehnici actuale din domeniul esteticii dentare, cu scopul de a oferi tratamente cât mai eficiente și durabile.

Confort în timpul tratamentelor

Alegem metode menite să reducă disconfortul, pentru o experiență cât mai relaxantă și o recuperare mai ușoară.

Plan de tratament transparent

Îți oferim o evaluare detaliată și explicăm fiecare etapă, astfel încât să știi ce urmează și cum abordăm obiectivele tale estetice.

De ce să alegi estetica dentară fără rețineri

Știm că decizia de a începe un tratament de estetică dentară poate fi însoțită de întrebări și temeri. De la preocupări legate de aspectul final, la posibilele disconforturi sau costuri, suntem aici să îți oferim sprijin și claritate. Prin tehnologie avansată, soluții personalizate și o echipă dedicată, te asigurăm că fiecare pas este gândit pentru confortul și satisfacția ta.

"Mi-e teamă că lucrarea finală nu va arăta natural."

Folosim materiale de înaltă calitate și tehnologie avansată pentru a ne asigura că fiecare lucrare se potrivește perfect cu aspectul natural al dinților tăi. În plus, lucrăm îndeaproape cu tine pentru a ne asigura că rezultatul final reflectă exact dorințele tale.

„Este costisitor și nu sunt sigur(ă) dacă merită investiția.”

Investiția în estetică dentară este o investiție în încrederea ta. Oferim opțiuni de finanțare și planuri de plată pentru a face tratamentele accesibile, și vei vedea valoarea în schimbarea pozitivă a zâmbetului tău.

„Am auzit că rezultatele nu sunt întotdeauna așa cum ne așteptăm.”

„Cu ajutorul tehnologiei de simulare, vei vedea rezultatul final înainte de a începe tratamentul, astfel încât să te asiguri că este exact ceea ce îți dorești. Planificarea detaliată și comunicarea continuă ne permit să răspundem perfect așteptărilor tale.”

,,Am auzit că procedurile pot provoca sensibilitate dentară."

Vom folosi tehnici care minimizează riscul de sensibilitate și îți vom oferi recomandări pentru a gestiona orice disconfort temporar.

,,Mă tem că procedurile vor fi dureroase sau inconfortabile."

„Nu este adevărat, tratamentele nu sunt dureroase. Folosim tehnici moderne și anestezie locală pentru a asigura un confort maxim. Majoritatea pacienților nu resimt decât un disconfort minim, în cel mai rău caz.”

,,Sunt preocupat(ă) de posibile efecte secundare.”

Toate procedurile sunt realizate conform standardelor de siguranță stricte. Vom discuta toate posibilele efecte secundare și vom lua măsuri pentru a le minimiza, asigurându-ne că te simți confortabil și bine informat(ă).

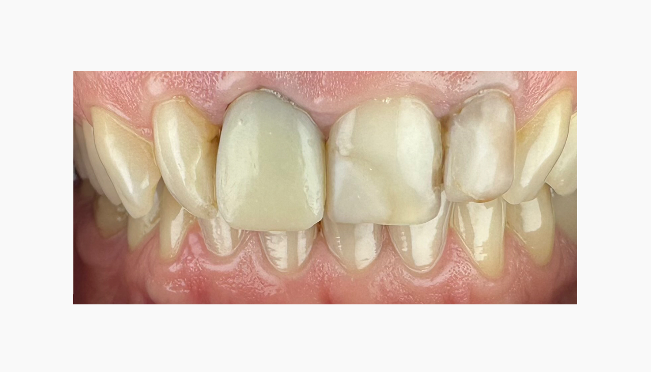
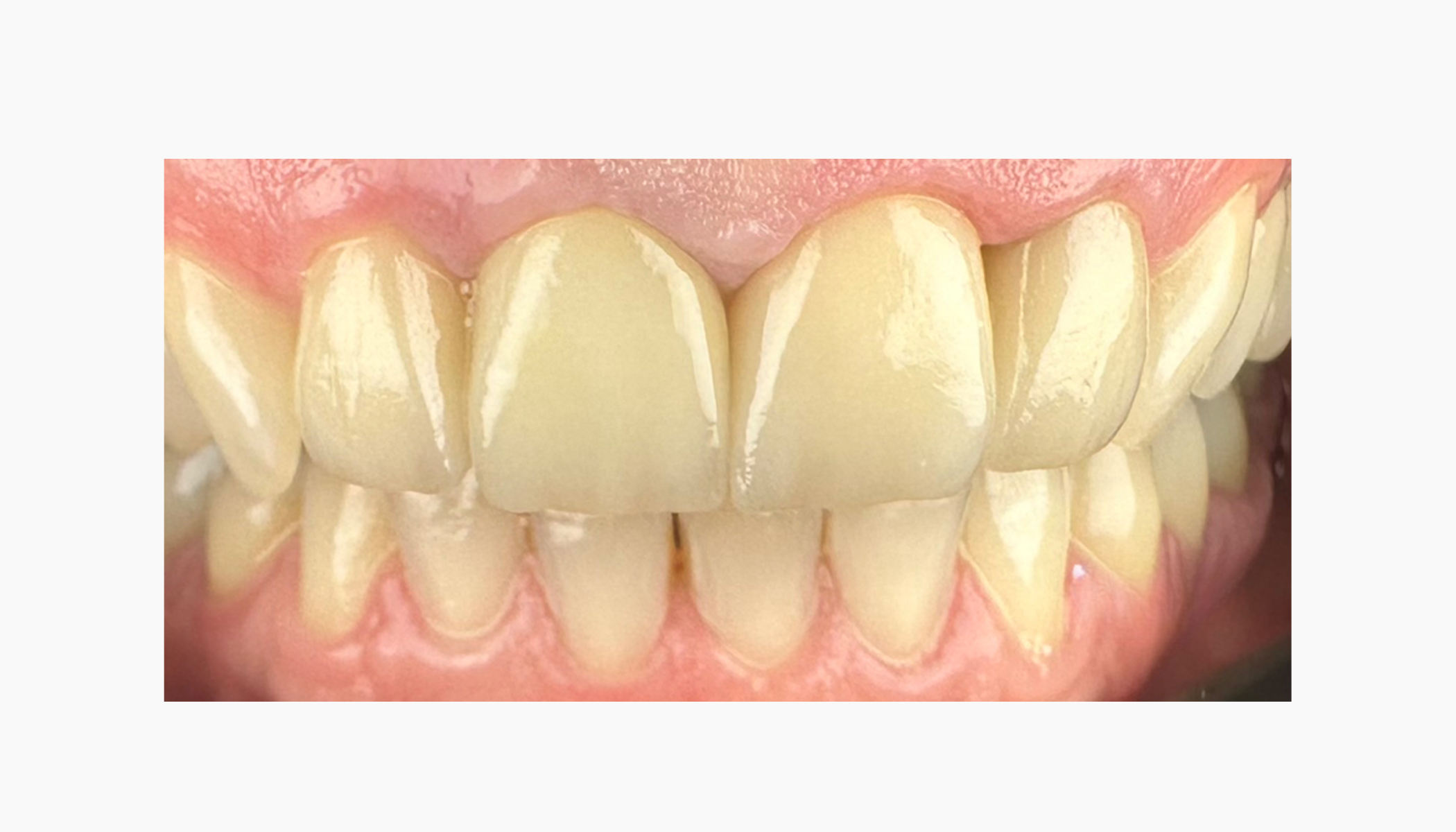
STUDIU DE CAZ

Pacienta noastră a venit cu o fațetă dentară veche și probleme de aliniere dentară care îi afectau încrederea. Echipa noastră a înlocuit fațeta cu una adaptată perfect, realizată din materiale de înaltă calitate, și a efectuat tratamente suplimentare pentru a reda armonia și naturalețea zâmbetului. Rezultatul? Un zâmbet proaspăt și încredere redobândită!

Before

After

Sfaturi și informații utile pentru zâmbetul tău

1. Cât durează să văd rezultatele?

Timpul necesar pentru a vedea rezultatele variază în funcție de procedură. Vom oferi estimări clare și realistice în timpul consultației inițiale.

2. Este necesară o îngrijire specială după tratamentele estetice?

În funcție de tratament, îți vom oferi instrucțiuni detaliate pentru îngrijirea post-tratament pentru a menține rezultatele și a asigura o recuperare ușoară.

3. Ce se întâmplă dacă nu sunt mulțumit de rezultat?

În cazul în care nu ești complet mulțumit de rezultat, vom lucra împreună pentru a face ajustările necesare și a asigura că obții zâmbetul pe care ți-l dorești.

4. Există riscuri asociate cu aceste proceduri?

Procedurile noastre sunt realizate de profesioniști calificați, utilizând tehnici sigure și testate. Riscurile sunt minime și vom discuta toate aspectele legate de siguranță înainte de începerea tratamentului.

5. Cum pot ști că tratamentele vor fi de durată?

Folosim tehnici și materiale de înaltă calitate care sunt concepute să reziste în timp. De asemenea, îți oferim sfaturi detaliate despre îngrijirea post-tratament pentru a menține rezultatele cât mai mult posibil.

6. Cum se realizează albirea dinților și câte ședințe sunt necesare?

Albirea dinților cu lampa Zoom este un proces de albire profesională care utilizează o tehnologie avansată pentru a accelera efectele gelului de albire. Procedura durează aproximativ 60 de minute și include aplicarea unui gel pe dinți, care este activat de o lampă specială. De obicei, sunt necesare 1-2 ședințe pentru a obține rezultatele dorite, dar în funcție de gradul de decolorare, pot fi necesare sesiuni suplimentare pentru rezultate optime.

Experiențe care inspiră încredere

O experiență excelentă! Medicul m-a ghidat pas cu pas și mi-a explicat totul cu răbdare. Procedura a fost fără durere, iar recuperarea mai ușoară decât mă așteptam. Recomand cu toată încrederea!

Elena M / CLUJ-NAPOCA

„Am fost uimit de cât de natural arată implantul meu. Echipa este foarte profesionistă, iar tehnologia modernă folosită face toată diferența. Un zâmbet nou, fără griji!”

Andrei T / CLUJ-NAPOCA

„Procedura a decurs impecabil, iar medicul a fost extrem de atent la detalii. Îmi era teamă de durere, dar totul a fost surprinzător de confortabil. Zâmbetul meu arată mai bine ca niciodată!”

Ana R / CLUJ-NAPOCA

„Mi-a plăcut că am fost informată despre fiecare etapă a tratamentului. Atmosfera calmă și echipa prietenoasă m-au făcut să mă simt în siguranță. Recomand clinica cu drag!”

Maria D. / CLUJ-NAPOCA

„Profesionalism și grijă deosebită față de pacienți! Implantul meu s-a integrat perfect, iar rezultatul final depășește așteptările. Mulțumesc echipei Zambezia pentru zâmbetul meu nou!”

Cristian V / Satu Mare

CLINICA ZAMBEZIA

Clinica Zambezia (14 specializari)

Str. Virgil Onițiu nr. 9A, Cluj-Napoca

Drawer Title

This website uses cookies to ensure you get the best experience on our website.

Produse similare